Más información, menos radiación

MAYOR CLARIDAD PARA DETECTAR HALLAZGOS MÁS RÁPIDAMENTE

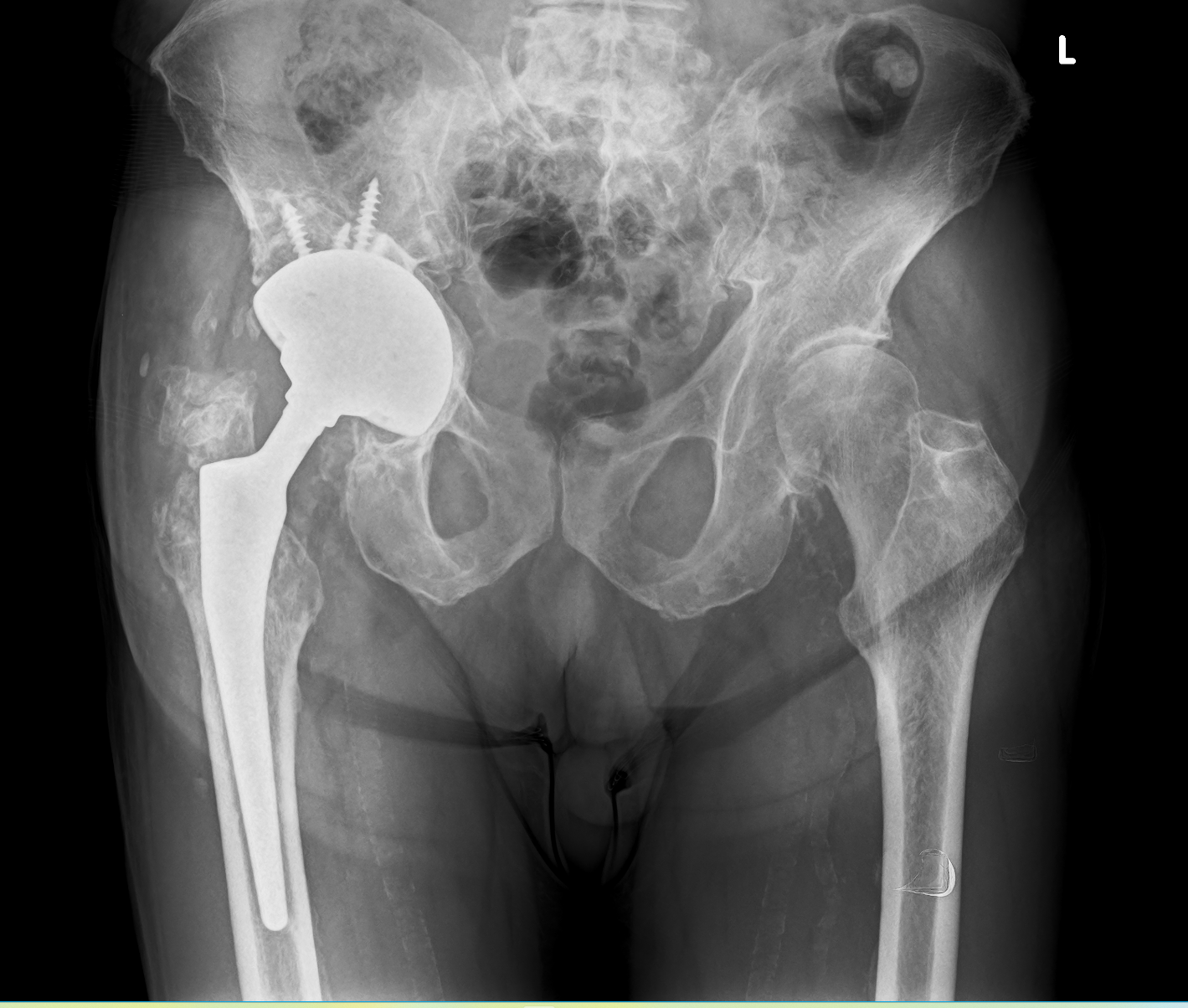
Radiografía
Radiografía
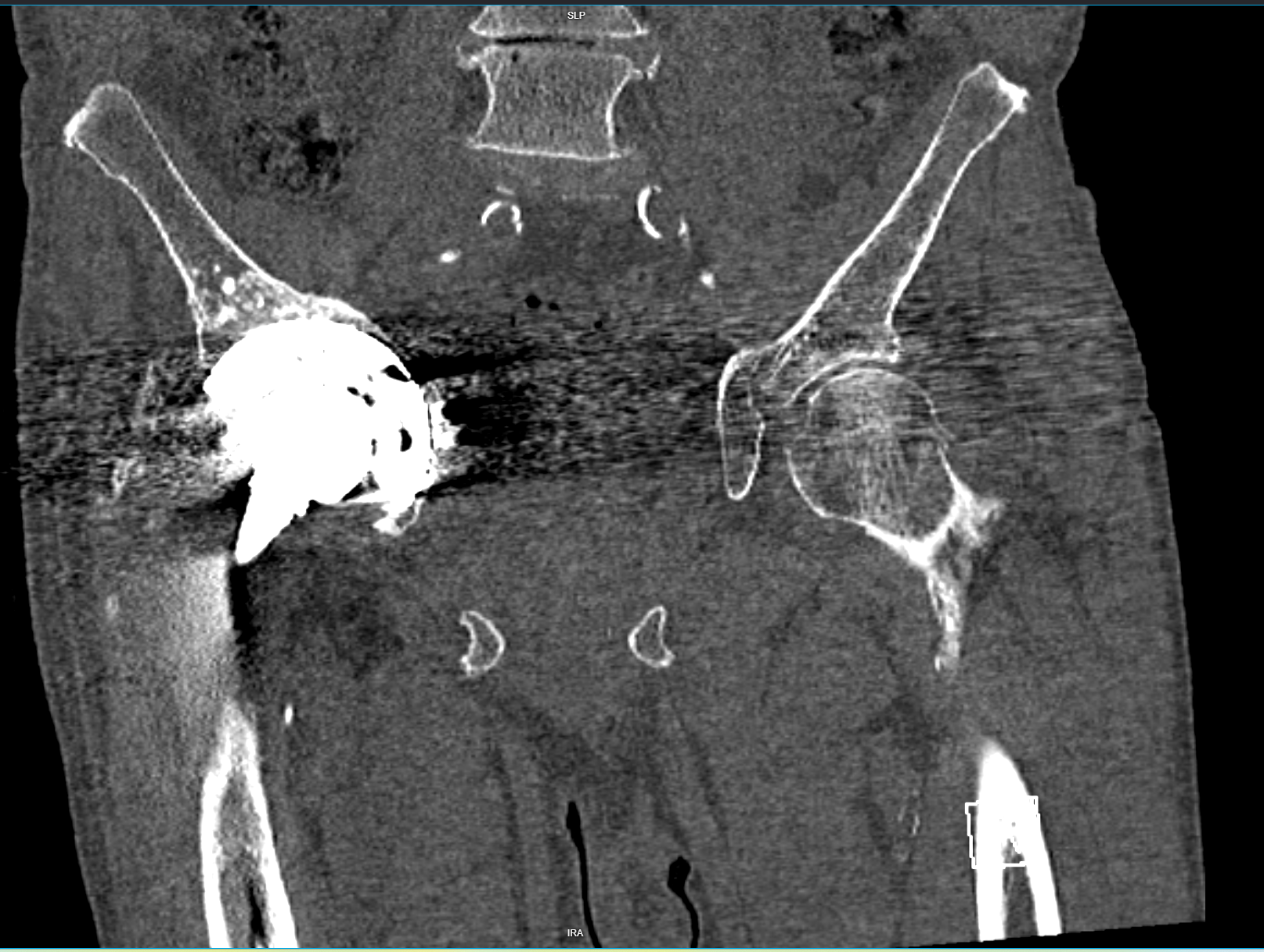
Tomografía computarizada
Tomografía computarizada
Nanox.ARC
Nanox.ARC

Imagenología de alta resolución y baja dosis

Soluciones avanzadas de imagenología

Nanox.ARC, un sistema de imagenología por tomosíntesis 3D digital de múltiples fuentes aprobado por la FDA,
revoluciona la atención y los resultados del paciente con tecnología de vanguardia.

Play

La próxima generación de imagenología médica

Mejore la visualización de la anatomía y reduzca la superposición de estructuras con un sistema de imagenología por tomosíntesis 3D multifuente digital avanzado y asequible.

El futuro es ahora

La imagenología de Nano-X ofrece una solución integral, desde el escaneo hasta el diagnóstico.

Proporcionamos capacidades avanzadas de diagnóstico por imágenes y mejoramos la atención general del paciente.

CONTACT US